أفضل عيادة أسنان في تركيا
أفضل عيادة أسنان في تركيا هو العنوان الذي يبحث عنه آلاف المرضى سنوياً، خاصةً أولئك الذين يرغبون في الجمع بين الجودة العالية والتكلفة المناسبة والنتائج المبهرة.

ومن هنا تبرز Hili Clinic كواحدة من أبرز الخيارات في مجال طب وتجميل الأسنان في تركيا.
فبفضل الخبرة الطبية المتقدمة، والتقنيات الحديثة، وخدمة المرضى الدوليين باحترافية، أصبحت عيادة هيلي كلينك في تركيا الوجهة المثالية لمن يبحث عن ابتسامة مثالية وعلاج آمن.
وإذا كنت تفكر في بدء رحلتك العلاجية، يمكنك التواصل معنا مباشرة للحصول على استشارة أولية مجانية وتقييم مبدئي لحالتك.
معايير اختيار العيادة
معايير اختيار العيادة تُعد الأساس الحقيقي للوصول إلى أفضل عيادة أسنان في تركيا، لأن القرار الصحيح يبدأ بالمعلومات الدقيقة.

لذلك من المهم التأكد من خبرة الفريق الطبي، والشهادات المعتمدة، وعدد الحالات الناجحة التي تم تنفيذها باحترافية.
بالإضافة إلى ذلك، فإن التقييمات الإيجابية من المرضى الدوليين تعكس مستوى الثقة والرضا.
كما أن وجود خطة علاج واضحة وتفصيلية قبل البدء يمنح المريض شعوراً بالأمان والشفافية.
ومن جهة أخرى، فإن استخدام مواد أصلية وأجهزة متطورة يضمن نتائج طويلة الأمد.
لذلك ندعوك للتواصل مع فريق عيادة هيلي كلينك اليوم لمعرفة تفاصيل خطة علاجك خطوة بخطوة.
أسعار علاج الأسنان
أسعار علاج الأسنان في أفضل عيادة أسنان في تركيا تتميز بالتوازن بين الجودة والتكلفة، حيث يمكن للمرضى تحقيق وفر يصل إلى نسب كبيرة مقارنةً بالدول الأوروبية.

ومع ذلك، فإن القيمة الحقيقية لا تقاس بالسعر فقط، بل بما يتضمنه من خدمات شاملة مثل الاستشارة، الأشعة، المتابعة، وخدمة المرضى بعد العلاج.
علاوةً على ذلك، توفر عيادة هيلي كلينك باقات متكاملة تشمل الإقامة والنقل لتسهيل تجربة السياحة العلاجية.
كما يتم شرح جميع التفاصيل المالية بشفافية تامة دون أي رسوم مخفية.
احجز استشارتك المجانية الآن واكتشف تكلفة علاجك بدقة من خلال إرسال صور أسنانك لفريقنا الطبي.
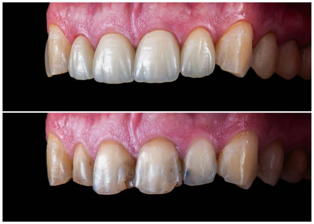
تجارب المرضى قبل وبعد
تجارب المرضى قبل وبعد تُعتبر من أهم المؤشرات التي تؤكد أنك تتعامل مع أفضل عيادة أسنان في تركيا، لأنها تعكس النتائج الواقعية على أرض الواقع.

فالصور الموثقة والقصص الحقيقية تمنح تصوراً واضحاً للتحول الذي يمكن تحقيقه خلال فترة قصيرة.
بالإضافة إلى ذلك، فإن شهادات المرضى الدوليين تعكس مستوى الرضا والثقة بالخدمة المقدمة.
كما أن متابعة الحالة بعد انتهاء العلاج تؤكد التزام العيادة برفاهية المريض على المدى الطويل.
لذلك يمكنك الآن طلب مشاهدة حالات قبل وبعد مشابهة لحالتك عبر التواصل معنا مباشرة للحصول على تقييم مخصص لحالتك.
أحدث تقنيات طب الأسنان
أحدث تقنيات طب الأسنان هي العامل الفارق الذي يجعل أفضل عيادة أسنان في تركيا تتصدر المنافسة.

حيث تساهم التكنولوجيا الحديثة في تحسين الدقة وتقليل الألم وتسريع التعافي.
فالتصميم الرقمي للابتسامة يتيح رؤية النتيجة قبل بدء العلاج، كما أن تقنيات الزراعة الفورية والتصوير ثلاثي الأبعاد توفر تخطيطاً مثالياً لكل حالة.
إضافةً إلى ذلك، فإن الأجهزة الحديثة تقلل من التدخل الجراحي وتزيد من نسبة النجاح.
ومن ناحية أخرى، فإن الاستثمار المستمر في التطوير يعكس التزام عيادة هيلي كلينك بالتميز والابتكار.
تواصل معنا اليوم لتتعرف على أحدث التقنيات المناسبة لحالتك واحصل على خطة علاج متكاملة.
جدول إحصائيات حول علاج الأسنان في تركيا
| المؤشر | النسبة التقريبية |
| نسبة رضا المرضى | 95% |
| نسبة نجاح زراعة الأسنان | 98% |
| متوسط التوفير مقارنة بأوروبا | حتى 60% |
| مدة الإقامة العلاجية | 5–7 أيام |
| نسبة المرضى الدوليين | مرتفعة سنوياً |
الأسئلة الشائعة
هل تعتبر عيادة هيلي كلينك من أفضل عيادة أسنان في تركيا؟
نعم، بفضل الخبرة، التكنولوجيا، وتجارب المرضى قبل وبعد، أصبحت خياراً مفضلاً للمرضى الدوليين.
كم تستغرق مدة العلاج؟
تختلف حسب الإجراء، ولكن معظم العلاجات التجميلية تستغرق من 5 إلى 7 أيام.
هل يوجد ضمان على العلاج؟
نعم، يتم تقديم ضمان مكتوب على العديد من الإجراءات.
كيف يمكنني معرفة التكلفة؟
يمكنك إرسال صور أسنانك الآن عبر واتساب للحصول على تقييم مجاني وخطة علاج مفصلة.
إن البحث عن أفضل عيادة أسنان في تركيا يتطلب دراسة دقيقة لمعايير اختيار العيادة، ومقارنة أسعار علاج الأسنان، والاطلاع على تجارب المرضى قبل وبعد، والتأكد من استخدام أحدث تقنيات طب الأسنان.
ولذلك فإن عيادة هيلي كلينك في تركيا تمثل الخيار المثالي لمن يبحث عن الجودة والاحترافية والنتائج المضمونة. لا تؤجل ابتسامتك المثالية، فكل خطوة تبدأ بقرار بسيط.
مقالات ذات صلة