The Best Dental Clinic in Turkey
“The best dental clinic in Turkey” is the title searched by thousands of patients every year, especially those who wish to combine high quality, reasonable costs, and outstanding results.

From this perspective, Hili Clinic stands out as one of the leading choices in cosmetic and restorative dentistry in Turkey.
Thanks to advanced medical expertise, modern technologies, and professional international patient services, Hili Clinic in Turkey has become the ideal destination for those seeking a perfect smile and safe treatment.
If you are considering starting your treatment journey, you can contact us directly for a free initial consultation and preliminary case evaluation.
Clinic Selection Criteria
Clinic selection criteria are the true foundation for finding the best dental clinic in Turkey, because the right decision begins with accurate information.

It is essential to verify the medical team’s experience, accredited certifications, and the number of successfully completed cases.
In addition, positive reviews from international patients reflect trust and satisfaction levels.
Having a clear and detailed treatment plan before starting also provides a sense of safety and transparency.
On the other hand, the use of original materials and advanced equipment ensures long-lasting results.
We invite you to contact the Hili Clinic team today to learn about your treatment plan step by step.
Dental Treatment Prices
Dental treatment prices at the best dental clinic in Turkey are characterized by a balance between quality and cost, allowing patients to achieve significant savings compared to European countries.

However, true value is not measured by price alone, but by what is included—such as consultation, X-rays, follow-up care, and post-treatment patient support.
Moreover, Hili Clinic offers comprehensive packages that include accommodation and transportation to facilitate the medical tourism experience.
All financial details are explained with full transparency and no hidden fees.
Book your free consultation now and discover the exact cost of your treatment by sending your dental photos to our medical team.
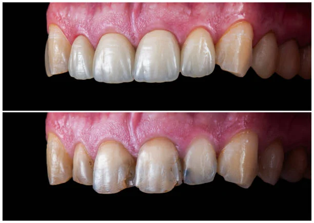
Patient Experiences Before and After
Patient experiences before and after treatment are among the most important indicators that you are dealing with the best dental clinic in Turkey, as they reflect real, tangible results.

Documented photos and real-life stories provide a clear vision of the transformation that can be achieved within a short period.
Additionally, testimonials from international patients highlight the level of satisfaction and trust in the services provided.
Ongoing follow-up after treatment also demonstrates the clinic’s commitment to long-term patient well-being.
You can now request to see before-and-after cases similar to yours by contacting us directly for a personalized evaluation.
The Latest Dental Technologies
The latest dental technologies are the key factor that places the best dental clinic in Turkey at the forefront of competition.

Modern technology enhances precision, reduces discomfort, and accelerates recovery.
Digital Smile Design allows patients to preview results before treatment begins, while immediate implant techniques and 3D imaging provide optimal case planning.
Furthermore, advanced equipment minimizes surgical intervention and increases success rates.
Continuous investment in innovation reflects Hili Clinic’s commitment to excellence and advancement.
Contact us today to learn about the latest technologies suitable for your case and receive a comprehensive treatment plan.
Statistics Table About Dental Treatment in Turkey
| Indicator | Approximate Rate |
| Patient satisfaction rate | 95% |
| Dental implant success rate | 98% |
| Average savings compared to Europe | Up to 60% |
| Treatment stay duration | 5–7 days |
| International patient rate | High annually |
Frequently Asked Questions
Is Hili Clinic considered one of the best dental clinics in Turkey?
Yes, thanks to its expertise, advanced technology, and documented before-and-after patient experiences, it has become a preferred choice for international patients.
How long does treatment take?
It varies depending on the procedure, but most cosmetic treatments take between 5 to 7 days.
Is there a guarantee on treatment?
Yes, written guarantees are provided for many procedures.
How can I find out the cost?
You can send your dental photos via WhatsApp now to receive a free evaluation and a detailed treatment plan.
Searching for the best dental clinic in Turkey requires careful evaluation of clinic selection criteria, comparison of dental treatment prices, reviewing patient experiences before and after, and ensuring the use of the latest dental technologies.
For this reason, Hili Clinic in Turkey represents the ideal choice for those seeking quality, professionalism, and guaranteed results. Do not postpone your perfect smile—every step begins with a simple decision.